dsa医学上是什么意思 心脏dsa造影是什么检查

1、DSA检查即数字剪影血管造影术,它是通过在血管内注入造影剂,利用计算机对影像信息进行数字化处理,以消除骨骼和软组织影图像的血管成像技术。Digital subtraction angiography简称DSA,即血管造影的影像通过数字化处理,把不需要的组织影像删除掉,只保留血管影像,这种技术叫做数字减影技术。
2、DSA在临床上的应用主要有:(1)血管性疾病的诊断,比如血管破裂、动脉瘤、动静脉畸形、动静脉瘘,还有血管狭窄闭塞性的疾病。
(2)小的富血供肿瘤的诊断与定位,比如胰岛素瘤、甲状旁腺瘤等。
(3)血管解剖的术前评估、局部肿瘤的切除、器官移植等。另外,还有进行经皮血管腔内治疗,如经导管药物灌注、球囊成形、置入支架、溶栓等,它的应用在临床上还是比较广泛的。
3、心脏dsa造影是什么检查?dsa检查是数字减影血管造影检查。是目前经常应用于全身血管性疾病及肿瘤的检查及治疗的一种方法。指的是血管造影的影像通过数字化处理,把不需要的组织影像删除掉,只保留血管影像,然后观察血管病变,对血管狭窄进行定位测量,为诊断及介入治疗提供了真实的立体图像,从而提供了必备条件。
想必是您心脏哪里不舒服了才想了解一下心脏造影怎么做吧?但是这种检查并不能自己想做就做,因为心脏造影检查过程中有一定的风险,属于“有创检查”,需要经过心内科医生的诊断之后才能进行,下面我们来聊聊这个问题。
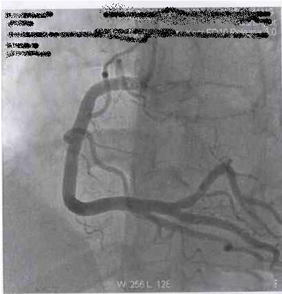
心脏造影是怎么检查的?有哪些风险?
心脏造影首先是在手腕进行穿刺置管(在动脉放入鞘管),鞘管一头在动脉血管里,一头暴露在外面,接着通过暴露部分将造影导管送入心脏附近后的冠状动脉开口处,通过管子将造影剂注入冠状动脉,此时就可以通过X线显影看到冠状动脉具体情况,拔出管子,检查结束。

△先给手臂消毒

△铺上无菌布

△做穿刺置管

△完成穿刺置管

△造影导管

△冠状动脉显影
以上就是心脏造影的具体检查过程,大多数患者在医生的规范操作下,检查过程是比较顺利的,但是由于心脏造影是有创检查,而有创检查就一定有风险,具体如下:
穿刺置管部位局部出血、血肿,血管痉挛、受损
部分老年患者、糖尿病患者、肾功能不全患者易患造影剂肾病,造影剂过敏
造影导管断裂、打结
损伤导致心绞痛、主动脉夹层、冠状动脉夹层等病症
心脏造影虽然有风险,但是该做还是得做
刚才也提到了,自己感觉心脏不舒服是不能倔强的非要做心脏造影的,毕竟是有创检查,应该做心脏造影的即使有风险也要做,不需要做心脏造影的就不必冒那个风险了,可是如何判断自己是应该做心脏造影的呢?通常以下情况就必须得做:
急性心肌梗死
不明原因的胸痛
CT发现狭窄需要进一步做心脏造影
心绞痛
以上只是我列举出的部分需要做心脏造影的情况,如果心脏确实不舒服,还是需要在心内科医生诊断后再决定做哪种检查,总之,听医生的。






