智齿是怎么回事 一般智齿是长在哪个位置需要拔
通常我们人类长牙齿都是在小的时候,在几岁的时候乳牙就会全部长出,后来再长大一点的时候,乳牙就会慢慢掉落,新的牙齿会长出来,一直用到老,据说成年那段时间还会长出智齿,那么智齿是怎么回事,一般智齿是长在哪个位置需要拔?接下来我们就一起去了解一下吧!
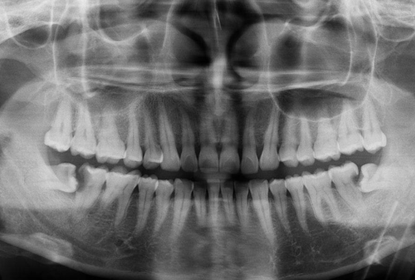
智齿是怎么回事

智齿是恒牙里长得最晚的牙齿,它通常会在18到25岁之间的时间长出来,一般女孩子比男孩子的智齿长出的时间要早一些,也有些人不会长出这种牙齿。智齿通常都长在口腔的最里边,有四颗,它们分别一一对应。智齿又被叫做第三磨牙,在第二磨牙的旁边,是早期人类为了更好的咀嚼而长出来的一个牙齿。

因为原始时代人类经常会吃一些难以咀嚼的东西,原先的牙齿也不太够用,所以发展出第三磨牙,但是由于现代人们的吃食越来越精细了,不需要过度的咀嚼,因此原先的智齿就逐渐变得多余了起来,并且许多现代人的口腔中并没有给智齿留下位置,因此有些人一旦长出智齿就会挤压其他牙齿的位置,变得疼痛,这就是阻生智齿。

通常遇见阻生智齿的话一般都是去医院将它拔出来,不过如果智齿长得很好的话,那么就不会出现任何发炎或其他的问题,因此就不需要管它,但是有些人的智齿会出现各种各样阻生智齿的问题。
阻生智齿

人类的牙齿是后天长出来的一种骨骼,这种会露出的骨骼并不是一成不变的,有许多人的牙齿在萌发的过程中变歪,而智齿也是如此,变歪的智齿会阻碍和损伤旁边的牙齿,有时甚至会发炎,引起疼痛,所以需要尽快将其拔出。感兴趣的可以了解一下矫正牙齿会导致牙齿松动脱落吗?






