口呼吸面容的经典样子图片 张嘴呼吸变丑能恢复吗
口呼吸用字面意思理解就是用嘴呼吸,一般人都是用鼻子呼吸的,但是有时候感冒了才会用嘴呼吸,小编知道鼻子不能呼吸用嘴呼吸的痛苦,不是一般的难受,经常用嘴呼吸会改变面部美观程度的,用嘴呼吸的人那个嘴总是鼓鼓的,好像是含着东西似,不过这种早发现早治疗能通过矫正手术弄好的。口呼吸的遗留下来的样子小编一起来看一看吧!用嘴呼吸渐渐会变丑这种能恢复吗?
口呼吸面容的经典样子图片
儿童长期的用嘴呼吸会慢慢的影响面部的,最明显的就是嘴部的变化,他会随着孩子的慢慢长大而凸起,还有可能会上鄂也会慢慢的拱起,可能还会影响鼻子的内部结构,是一种看似简单的却影响一生的“病”让咱们看看那些经典的样子吧

一对亲生姐妹的例子,姐姐在右边这个平时用鼻子呼吸,长大了是个小美女,妹妹用嘴巴呼吸整明显的嘴巴突出很高。
这个就是比较典型的用嘴呼吸的例子了,整体人都没有办法直视了,真是毁了较好的面容。
这个用嘴呼吸的大多数还真是在小孩子中看出来了,一眼望去好像大多数小孩都是这样,最明显的就是用红色箭头指出的这个小孩了,牙齿已经向外翻了。
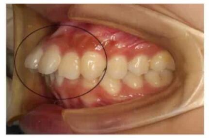
用嘴长时间呼吸也会导致牙齿的变形和走样,这是龅牙妹吗?
张嘴呼吸变丑能恢复吗
张嘴呼吸一般是能恢复的,这个就是早发现早纠正,一般这种大多数是从小就有这用现象的,小的时候没有注意到了长大了凸显出来了家人才会注意,这时候纠正也是能行的,但是也有一些比较严重的是纠正不了的。在做了纠正手术后,最好给自己配上一个闭口器,彻底根除用嘴呼吸的恶习这样才能越来越好。
口呼吸面容的经典样子图片
儿童长期的用嘴呼吸会慢慢的影响面部的,最明显的就是嘴部的变化,他会随着孩子的慢慢长大而凸起,还有可能会上鄂也会慢慢的拱起,可能还会影响鼻子的内部结构,是一种看似简单的却影响一生的“病”让咱们看看那些经典的样子吧

一对亲生姐妹的例子,姐姐在右边这个平时用鼻子呼吸,长大了是个小美女,妹妹用嘴巴呼吸整明显的嘴巴突出很高。
这个就是比较典型的用嘴呼吸的例子了,整体人都没有办法直视了,真是毁了较好的面容。
这个用嘴呼吸的大多数还真是在小孩子中看出来了,一眼望去好像大多数小孩都是这样,最明显的就是用红色箭头指出的这个小孩了,牙齿已经向外翻了。
用嘴长时间呼吸也会导致牙齿的变形和走样,这是龅牙妹吗?
张嘴呼吸变丑能恢复吗
张嘴呼吸一般是能恢复的,这个就是早发现早纠正,一般这种大多数是从小就有这用现象的,小的时候没有注意到了长大了凸显出来了家人才会注意,这时候纠正也是能行的,但是也有一些比较严重的是纠正不了的。在做了纠正手术后,最好给自己配上一个闭口器,彻底根除用嘴呼吸的恶习这样才能越来越好。
上一篇:姜京佐年龄多大了 他是辽宁哪里人






